Inframammary Fold Breast Wedge™

Description

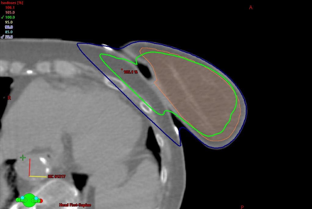
The IMF Breast Wedge™ repositions the breast off the anterior chest wall to reduce lateral fall, ptosis, and the bolus effect of skin-to-skin contact. By minimizing this effect, dose to the inframammary fold is decreased, lowering the risk of reactions such as dermatitis, erythema, or desquamation. Designed by a Radiation Therapist and Physicist, the IMF Breast Wedge is an air-equivalent, easy-to-use device that improves accuracy and patient comfort. Placement is simple—lift the breast, position the wedge at the apex of the fold, and the breast itself maintains the device in place for consistent set-up.

Key Benefits

  • Easy placement and reproducible set-up
  • Air-equivalent design for accurate dose delivery
  • Reduces dose to inframammary fold, lung, ribs, and heart
  • Customizable fit; DIBH and VisionRT compatible
  • Suitable for supine breast treatments
‭105.2000‬

Breast Wedge Small - Qty 10

‭105.3000‬

Breast Wedge Large - Qty 10

Other Products from
[product_category_name]

[same_category_products limit="50" columns="4"]